When we lose our teeth, our jaw slowly loses bone over time. For patients with no teeth, dentures become increasingly difficult to wear. Dental implants can help anchor a denture, but sometimes the bone loss is so severe, we need to explore other options.
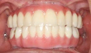
A 50 year old patient presented with frustrations of a loose fitting denture. He was socially withdrawn because he was afraid the denture would fall out while talking. He could not enjoy his favorite meals. Lastly he hated the feeling of the denture covering the roof of his mouth. He was young and wanted to enjoy the rest of his life with permanent teeth.


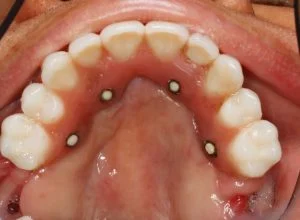
We placed four implants in his cheekbone that emerged into his mouth to anchor teeth. We also replaced all his failing lower teeth with dental implants.

The patient was seen in the office recently and was extremely happy with his results. His confidence has soared and he could now enjoy chewing again.


The use of the zygomatic bone for anchorage of long oral implants was developed by Dr. Branemark and co-workers during the 1980s.1 The ideal candidate for this procedure are patients who have not had teeth for many years and wear an upper dentures that does not fit well despite multiple remakes and relines. Benefits of the zygomatic implant include:
- Reliable and good stock of bone in the cheek
- No bone grafting required
- Ability to have teeth in the same day
- Proven long term success
References
- Branemark PI, Grondahl K, Ohrnell LO, et al. Zygoma fixture in the management of advanced atrophy of the maxilla: technique and long-term results. Scand J Plast Reconstr Surg Hand Surg 2004;38(2):70–85.









