One of the obstacles a patient faces with dental implants is the length of treatment required. Traditionally, it takes two surgeries and up to eight months of healing after a tooth extraction to receive a new implant tooth. However, with improved implant surfaces and techniques, we can now predictably place dental implants into the sockets of teeth immediately after extraction, with similar survival rates1. Everything can now be done in one surgery with only four months of healing.
Any site is a potential candidate as long as there is adequate bone both surrounding, as well as past the tooth root(s), to allow for an ideal restorative position with good initial stability.
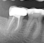
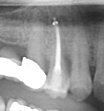
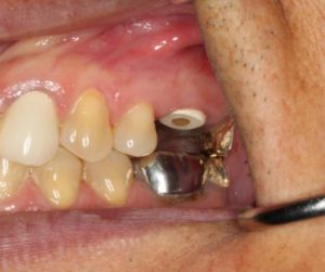
Preoperative 3D imaging is helpful in visualizing the patient’s anatomy and screening the ideal candidate. Since there is limited bone available, a dental implant with aggressive threading is important to obtain good primary stability. Typically, the socket is larger than the diameter of the dental implant and a bone graft is required to fill the space. A large stock, or customized healing abutment, can then be used to contain the bone graft and allow for ideal soft tissue healing.
Immediate implant placement in extraction sockets is a predictable procedure with favorable results. Immediate placement provides a tremendous benefit for patients as it eliminates the need for a second surgery and significantly reduces treatment time. With immediate placement patients can receive their new implant restoration four months after extraction, compared to the traditional eight month waiting period with two or more surgeries.
1. Chrcanovic BR, Albrektsson T, Wennerberg A. Dental implants inserted in fresh extraction sockets versus healed sites: a systematic review and meta-analysis. J Dent 2015 Jan; 43 (1): 16-41.



















