There is limited space. Wisdom teeth may contribute to crowding of teeth, prevent eruption of second molars and may cause shifting of teeth after braces.1

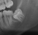
Figure 1. Developing tooth #32 preventing normal eruption of #31.

• Early removal is better. Younger patients heal faster and easier. When roots are not fully developed, the chance of inferior alveolar nerve injury decreases. Complications and morbidity of surgery increase with older age.2

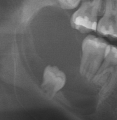
Figure 2. Fully developed #32 with increased risk for nerve injury.

 • They rarely provide any meaningful function. In terms of chewing ability and efficiency, there is little benefit for maintaining wisdom teeth.
• Infection and inflammation are common. Partially erupted teeth cause gums problems and are difficult to keep clean. Even normally erupted wisdom teeth are difficult to access for appropriate hygiene. Resulting inflammation is hard to eliminate, can spread and may contribute to pre-term and low birth weight infants, diabetes, cardiovascular disease and stroke.3,4
• Improve access to second molars. Placing crowns or distal restorations on second molars can be challenging when impacted third molars are present.
• Prevent super-eruption. When one wisdom tooth is problematic, the opposing wisdom tooth should be removed in anticipation of super-eruption can cause trauma to soft tissues.
• Prevent gum disease. Periodontal disease can begin with the third molars and spread to other teeth. Always probe wisdom teeth, even distal to second molars on unerupted ones, to assess for deep pocketing and bleeding.5

Figure 3. Elderly patient with previously unerupted tooth #17 presents with periodontal disease and bone loss which has also affected the second molar.

• Impacted wisdom teeth can develop aggressive cysts or tumors. These lesions can be locally destructive and require extensive procedures to remove. Be on the lookout for any associated radiolucencies on x-ray. Even hyperplastic follicles can represent early cyst formation.

Figure 4.A (left) Large odontogenic cyst associated with impacted tooth #32. Figure 4.B (right) Hyperplastic follicle may represent early cyst formation.

• Peace of mind! Wisdom teeth that are left behind require regular clinical and radiographic surveillance to assess for disease and/or pathology. They also require diligent oral hygiene and regular professional cleaning.

References
1. Harradine NW, Pearson MH, Toth B; The effect of extraction of third molars on late lower incisor crowding: a randomized controlled trial. Br J Orthod 25:117, 1998.
2. Chuang SK, Perrott DS, Susarla SM, Dodson TB; Age as a risk factor for third molar surgery complications. J Oral Maxillofac Surg 65(9): 1685-9, 2007.
3. White RP, Jr., Madianos PN, Offenbacher S et al.; Microbial complexes detected in the second/third molar region in patients with asymptomatic third molars. J Oral Maxillofac Surg 60: 1234, 2002a
4. Offenbacher S, Lieff S, Boggess KA, Murtha AP, et at; Maternal Periodontitis and Prematurity. Part 1: Obstetric Outcome of Prematurity and Growth Restriction. Ann Periodont 6: 164, 2001.
5. Elter JR, Offenbacher S, White RP, JR.; Association of third molars with periodontal pocketing. The dental ARIC study. J Oral Maxillofac Surg 62: 73, 2004.